Urenco ChemPlants owns and will operate our most recent nuclear new build, Urenco’s Tails Management Facility.
Urenco ChemPlants Read moreSee what actions we are taking to achieve net zero by 2040 in our net zero transition plan.
Read it hereOur increased order book and solid financial and operational performance provide basis for future growth.
Read our latest report27 January 2020
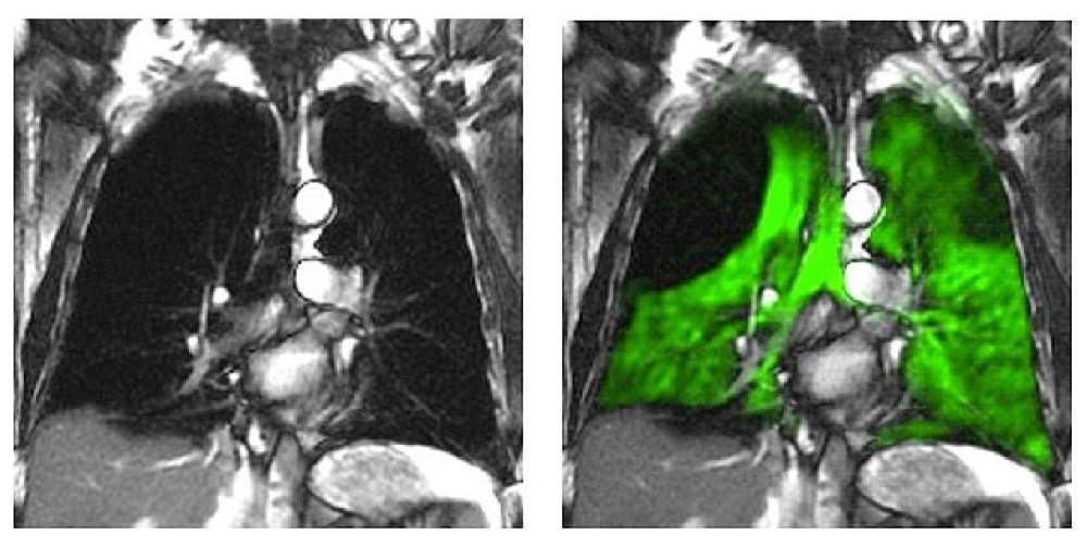
Urenco Stable Isotopes has signed a new contract to supply enriched Xenon-129 for medical purposes. Pending Food and Drug Administration approval, the enriched Xenon can be used to enhance considerably lung MRIs, allowing for the detection of abnormalities and diseases at a far earlier stage.
There is potentially an increased demand for Xenon and this is one of the reasons why we are currently investing in the expansion of our Stable Isotopes facility in the Netherlands.
The enriched Xe-129 isotope (more than 80% enriched) becomes part of a gas mix. The gas mix is inhaled by the patient and while inside the lungs, an MRI is performed. Before the patient inhales the gas mix, the Xenon is 'hyperpolarized' (negative charge of the cell membranes increased). This improves the MRI scan by a factor of 100,000, making the lung structures highly visible. As a result, various abnormalities and diseases become detectable at a much earlier stage than with the current method.
FDA approval
The gas mix and the hyperpolarizer are currently in the final phase of the FDA approval process. If they pass this stage, the product is ready to be put on the market and used as a medical application. The FDA is an agency of the United States federal government, which controls the quality of food and medicines.
About Urenco
Urenco is an international supplier of enrichment services and fuel cycle products with sustainability at the core of its business. Operating in a pivotal area of the nuclear fuel supply chain for 50 years, Urenco facilitates zero carbon electricity generation for consumers around the world.
With its head office near London, UK, Urenco’s global presence ensures diversity and security of supply for customers through enrichment facilities in Germany, the Netherlands, the UK and the USA. Using centrifuge technology designed and developed by Urenco, and through the expertise of our people, the Urenco Group provides safe, cost effective and reliable services; operating within a framework of high environmental, social and governance standards, complementing international safeguards.
Urenco is committed to continued investment in the responsible management of nuclear materials; innovation activities with clear sustainability benefits, such as nuclear medicine, industrial efficiency and research; and nurturing the next generation of scientists and engineers.
Media enquiries
Sign up to our newsletter by entering your email address below.